자연치아 살리기

자연치아 살리기

Barun General Dentistry

다시 재생되지 않는 자연치아, 소중한 자연치아를 오래 유지할 수 있는 정밀한 보존치료

SCROLL DOWNSCROLL DOWN

Barun General Dentistry

건강한 미소는
자연치아로부터 시작됩니다

자연치아는 인공 보철물이 대체할 수 없는 기능과 가치를 지니며
치아와 잇몸의 조화를 이루어 구강의 생리적 안정성을 유지하는 핵심입니다.

치주과 + 통합치의학과 전문의의 임상 경험을 토대로
손상된 치아라도 살리고 보호하는 치료를 진행합니다.

  • 충치 치료
  • 신경 치료
  • 치주 치료
  • 보존/보철 치료
자연치아살리기
01

충치 치료,
정기 검진이 가장 빠른 예방법입니다.

충치 치료

Check Point 01

작은 충치에도 진심을 담습니다.

초기 충치는 주로 치아 표면의 착색이나 작은 홈으로 나타납니다.
이 시기에 치료하면 치아를 거의 손상시키지 않고도 자연스럽게 복원할 수 있습니다.

정기 검진은 치아가 아프기 전, 건강하게 오래 유지할 수 있는 방법입니다.

Cavity Treatment

충치 치료, 치아를 살리는 바른 선택

STEP 01
법랑질 충치
법랑질 충치

법랑질 표면에 생기고 자각증상이
없어 주로 정기검진 시 발견

STEP 02
상아질 충치
상아질 충치

치아의 상아질까지 썩어
치아가 시리거나 약한 통증

STEP 03
치수염
치수염

치아 내 치수(신경)까지 썩어
온도에 민감해지고 심한 통증

STEP 04
치수 괴사
치수 괴사

충치 염증이 치조골과 잇몸까지 퍼져
크라운 치료를 시행하며 발치 위험

02

신경 치료,
치아를 오래 쓰기 위한 바른 치료가 시작됩니다.

Check Point 02

신경치료는 단순히
치아 속만 치료하는 것이 아닙니다.

치아를 지탱하는 잇몸과 치조골의 건강까지 함께 고려하는 신경치료,
치주과 전문의가 치아와 주변 조직 상태를 종합적으로 평가한 후
치료를 진행합니다.

바른선택치과의원은 치아와 치주 조직을 함께 관리하여
재발 위험을 낮추고, 자연치아를 보존하는 치료를 지향합니다.

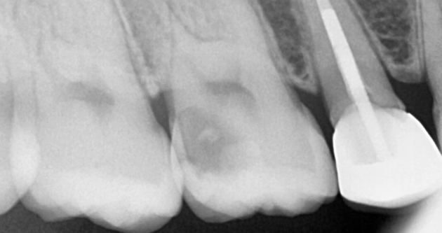
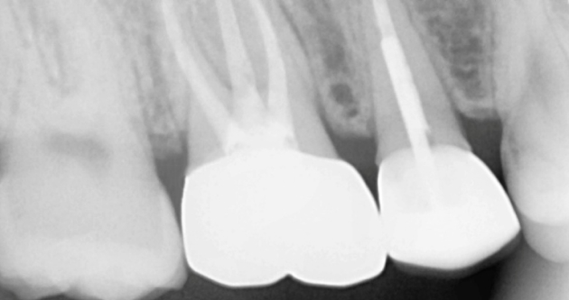
신경 치료

Nerve Treatment

신경치료, 치아를 최후로 살리는 마지막 선택

STEP 01
신경치료01

충치 또는 신경이
손상된 치아 확인

STEP 02
신경치료02

충치 제거 및 신경조직
제거 후 신경관 소독

STEP 03
신경치료03

치아 뿌리 내부에
인공 신경 물질 채우기

STEP 04
신경치료04

치아파절 방지를 위한
크라운 보철 씌우기

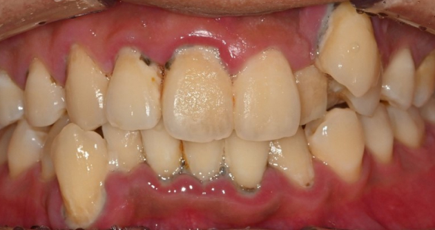
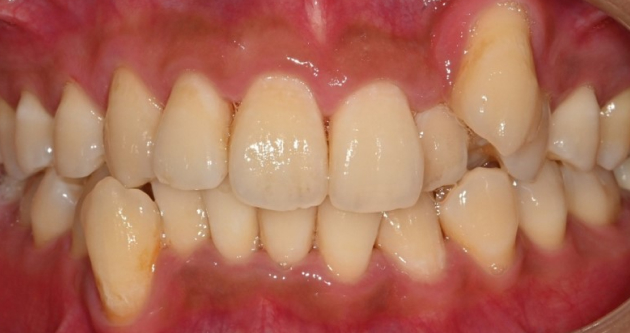
실제 사례 Before & After

바른선택치과의원은 결과로 증명합니다. 기능과 심미 모두 찾은 바른선택치과의원 실제 환자 케이스를 확인해보세요.

before Before
after After

치료 시작 전 촬영 2025.02.18 | 치료 완료 후 촬영 2025.02.28
※ 바른선택치과의원은 의료법을 준수하며 위 케이스는 실제 내원 환자분의 동의하에 공개된 사진과 동일한 환자분께 같은 조건에서 촬영한 사진을 활용했습니다.
개인에 따라 진료 및 치료 방법이 다르게 적용할 수 있으며, 효과와 부작용이 개인마다 다르게 나타날 수 있는 점을 안내해 드리며, 진료 전 전문의료진과 충분한 상담을 권해드립니다.

바른선택치과의원 카카오톡 문의버튼
03

치주염 치료, 잇몸 건강을 지키는
가장 좋은 방법은 조기에 시작하는 것입니다.

치주염 치료

Check Point 03

잇몸이 보내는 작은 신호, 먼저 알아차립니다.

치주염의 초기 단계인 치은염은 잇몸 출혈, 통증, 부기 등의 증상으로 시작됩니다.
이 시기에는 스케일링과 잇몸 마사지만으로도 충분히 치료 가능하지만,
방치하면 염증이 잇몸과 치조골까지 번져 치아가 흔들리거나 탈락할 수 있습니다.

정기적인 치과 방문을 통해 이러한 초기 징후를 빠르게 발견하는 것이 무엇보다 중요합니다.

One day Implant

치주염 치료, 치아를 오래 쓰기 위한 바른 시작

STEP 01

건강한 잇몸

치주염 치료01

초기에 건강한 잇몸이며
연분홍색을 띱니다.

화살표
정기적인 관리
STEP 02

치은염

치주염 치료02

칫솔질을 할 때 피가 나거나
잇몸이 붓습니다.

화살표
스케일링
STEP 03

초기 치주염

치주염 치료03

염증으로 인해 잇몸이 내려가며
쉽게 피가 나기 시작합니다.

화살표
치근활택술/치주소파술
STEP 04

진행된 치주염

치주염 치료04

잇몸이 심하게 붓고 뿌리가
드러나 치아가 흔들립니다.

화살표
치주수술

실제 사례 Before & After

바른선택치과의원은 결과로 증명합니다. 기능과 심미 모두 찾은 바른선택치과의원 실제 환자 케이스를 확인해보세요.

before Before
after After

치료 시작 전 촬영 2025.02.18 | 치료 완료 후 촬영 2025.02.28
※ 바른선택치과의원은 의료법을 준수하며 위 케이스는 실제 내원 환자분의 동의하에 공개된 사진과 동일한 환자분께 같은 조건에서 촬영한 사진을 활용했습니다.
개인에 따라 진료 및 치료 방법이 다르게 적용할 수 있으며, 효과와 부작용이 개인마다 다르게 나타날 수 있는 점을 안내해 드리며, 진료 전 전문의료진과 충분한 상담을 권해드립니다.

바른선택치과의원 카카오톡 문의버튼
04

보존/보철치료,
치아 상태에 맞춘 가장 적절한 해답을 제시합니다

Check Point 04

정밀한 진단과 설계로 완성되는
바른선택치과의원의 실력입니다.

치아 표면의 작은 균열이나 마모는 방치하면 충치로 진행되며,
손상이 깊어지면 보존/보철 치료가 필요할 수 있습니다.

보존치료는 치아의 자연 구조를 보존하며
손상 부위를 정밀하게 복원하는 치료로
레진, 인레이, 크라운 등 다양한 보철재료를 활용하여
기능과 심미성을 함께 회복합니다.

보존/보철치료

Prosthetic Treatment

보철 치료, 다시 일상으로 돌아가는 정교한 복원

레진 충전

레진 충전

치아와 유사한 색상의 복합레진을 이용해 충치나 손상된 부위를 메우며
심미성이 뛰어나고 앞니나 작은 충치 치료에 적합합니다.

  • 간단한 치료
  • 합리적인 비용
하이브리드 인레이

하이브리드 인레이

레진과 세라믹을 혼합한 재료로, 레진보다 강하고 세라믹보다는
유연하여 손상된 치아의 일부를 복원하는 보철 치료 방식입니다.

  • 강한 소재
  • 유연한 강도
골드 크라운

골드 크라운

치아와의 적합성이 뛰어나며, 씹는 힘이 강한 어금니에 적합합니다.
금속 재료이지만 생체 친화적이며, 잇몸 자극이 적습니다.

  • 높은 강도
  • 생체 친화적
지르코니아 크라운

지르코니아 크라운

강도가 높은 세라믹 소재로, 자연치아와 유사한 색상과
내구성을 가지며 치아와의 밀착력도 우수합니다.

  • 뛰어난 심미성
  • 자연스러움
  • 높은 강도

세밀한 진단을 바탕으로

치아의 기능과 아름다움
모두 완성합니다.