바른 임플란트

바른 임플란트

Barun Implant

잇몸과 치조골 건강까지 고려하여 오래 쓸 수 있는 임플란트

임플란트 치과, 바른선택치과의원

SCROLL DOWNSCROLL DOWN
바른선택치과의원

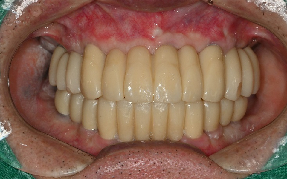
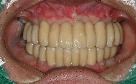
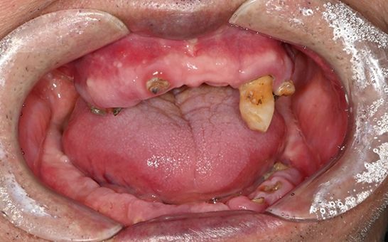
바른선택치과의원 전악 임플란트

before after

치료 시작 전 촬영 2024.01.24 | 치료 완료 후 촬영 2024.12.26

※ 바른선택치과의원은 의료법을 준수하며 위 케이스는 실제 내원 환자분의 동의하에 공개된 사진과 동일한 환자분께 같은 조건에서 촬영한 사진을 활용했습니다.

개인에 따라 진료 및 치료 방법이 다르게 적용할 수 있으며, 효과와 부작용이 개인마다 다르게 나타날 수 있는 점을 안내해 드리며, 진료 전 전문의료진과 충분한 상담을 권해드립니다.


[임플란트 주의사항]

1. 당일 마취가 풀린 후 식사를 하셔야 되며, 맵고 뜨거운 음식은 피하는게 좋습니다.

2. 혀나 칫솔로 창상을 계속 건들면 치유가 방해 됩니다.

3. 무리한 운동 혹은 사우나를 피하고 충분한 안정을 취해주시는게 좋습니다.

4. 흡연 및 음주는 치유를 방해하기 때문에 1~2달 가량 멀리하는게 좋습니다.

5. 통증이 심할 경우, 처방해드린 진통제 혹은 타이레놀을 복용해주시면 됩니다.
네이버 예약

치주과 전문의가 책임지는 임플란트

건강한 잇몸 위에 제대로 심는,
나와 오래오래 함께할 임플란트

임플란트는 단순한 '식립'이 아닙니다.
치아를 잃은 이유를 정확히 파악하고, 잇몸과 뼈 상태를 고려하여
장기적으로 안정적인 결과를 이끌어내는 것이 진짜 치료입니다.

임플란트 브랜드
임플란트

임플란트 하나가 아닙니다
치아의 기능 전체를 생각합니다

발치된 부분에 식립되는 임플란트 하나만이 아닌, 전체적인 치아 기능 예측과 장기적 결과까지
바른 선택이 만드는 바른 기능, 오래오래 함께할 바른 임플란트

One day Implant

건강한 결과를 만드는
바른선택 하루 내원 임플란트

바른선택 임플란트 STAGE 01

세심한 사전 진단 및 식립 계획

세심한 사전 진단 및 식립 계획

치료 전 3D 디지털 진단을 통한
수술 계획으로 예기치 않은
부작용을 줄일 수 있습니다.

바른선택 임플란트 STAGE 02

하루 내원 진료로 내원 감소

하루 내원 진료로 내원 감소

하루 내원 치료로,
수술 절차를 줄여 내원 횟수를
감소 할 수 있습니다.

바른선택 임플란트 STAGE 03

짧은 수술 시간 높은 완성도

짧은 수술 시간 높은 완성도

숙련된 전문의가 진행하는
3D 디지털 가이드로 정확하고
빠른 진료가 가능합니다.

바른선택 임플란트 STAGE 04

빠른 회복과 사후 관리

빠른 회복과 사후 관리

식립이 끝이 아닌,
회복과 사후관리 책임으로
환자분의 일상에 안정을 더합니다.

Digital Implant

작은 차이가 큰 결과를 만듭니다.

보이지 않는 오차까지 정밀하게 설계한
절개없는 3D 컴퓨터 분석을 활용한 임플란트

작은 차이가 큰 결과를 만듭니다.
01
저선량 3D CT

저선량 3D CT를 통한 환자의 잇몸뼈 상태,
신경위치를 데이터화하여 정밀한 계획을 수립합니다.

저선량 3D CT
02
3D 구강스캐너

3D 구강스캐너로 치아와 잇몸 형태를 동일하게
스캔하여 최적의 임플란트 식립 각도와 위치를 검토합니다.

3D 구강스캐너
03
디지털 수술 가이드

잇몸을 절개하는 기존의 방식과 달리,
임플란트 식립 위치에 2mm 정도의 작은 구멍을 뚫어 식립을 진행하여
잇몸 손상과 통증은 줄이고, 빠른 회복이 가능합니다.

디지털 수술 가이드

Q. 뼈이식 임플란트는 어떻게 치료하나요?

잇몸뼈는 임플란트를 지지하는 중요한 기반입니다. 하지만 시간이 지나거나 잇몸병으로 뼈가 약해진 경우엔
임플란트를 바로 심기 어렵습니다. 이럴 땐 부족한 뼈를 이식해 튼튼한 기반을 만든 뒤, 임플란트를 심는 정밀 치료입니다.

바른선택치과

이런 경우, 뼈 이식 임플란트가 필요할 수 있습니다.

바른선택 뼈이식 STAGE 01

세심한 사전 진단 및 식립 계획

세심한 사전 진단 및 식립 계획

뼈 상태와 구강 구조를 분석을 기반으로
가장 안전한 위치에 임플란트를
식립할 수 있도록 시술 계획을 수립합니다.

바른선택 뼈이식 STAGE 02

뼈 이식 수술 진행

뼈 이식 수술 진행

잇몸뼈가 부족한 부위에 이식재를 넣어
뼈를 보강하고, 기존 뼈와 융합될 수 있도록
안정화를 유도합니다.

바른선택 뼈이식 STAGE 03

임플란트 치근 식립

임플란트 치근 식립

이식된 뼈가 충분히 자리잡으면,
그 위에 임플란트 치근을 식립하여
단단하게 고정될 수 있도록 합니다.

바른선택 뼈이식 STAGE 04

보철물 제작 및 장착

보철물 제작 및 장착

임플란트가 잇몸뼈에 고정된 후,
개인의 구강 구조에 맞춘 정밀한 보철물을
식립하여 편안한 저작 기능을 회복합니다.

이런 경우,
전문의에게 상담하세요

사람마다 치아와 잇몸의 상태는 모두 다르기에,
누군가에겐 간단한 치료도 나에겐 특별한 준비가 필요할 수 있습니다.
나에게 꼭 맞는 치료 계획은 전문의와의
세심한 상담에서부터 시작됩니다.

수면치료01

임플란트를
처음 해보시는 분

수면치료02

풍치(치주염)로 치아를
뽑으셨거나 예정이신 분

수면치료03

잇몸이 자주 붓고
피나는 분

수면치료04

뼈가 부족해서 수술이
어렵다는 말을 들은 분

수면치료05

기존 임플란트가 흔들리거나
재수술이 필요한 분

수면치료06

한 번의 수술로 오래 쓸 수 있는
임플란트를 원하시는 분

Safe and comfortable SEDATION treatment

바른선택치과의원은 통증에 대한 두려움으로 내원부터 걱정되는 환자분들의 마음을 이해합니다.
이제, 자고 일어나면 끝나는 의식하진정 임플란트로 치료 시기를 놓치지 마세요.

의식하진정 치료 적합 대상

의식하진정 치료 적합 대상

  • 치과 공포증으로 인해
    치료를 미뤄오신 분
  • 다수의 임플란트를 동시에
    식립해야 하시는 분
  • 잇몸 뼈 이식과 같은
    추가적인 시술이 필요하신 분
  • 구강 반사가 강해
    일반적인 치료가 어려우신 분
전문의 협진으로 진행되는 안전한 의식하진정 임플란트

Check Point 01

전문의 진료로 진행되는
안전한 의식하진정 임플란트

다수의 의식하진정 임플란트 경험을 가진 치주과/통합치의학과
전문의 조승기 대표원장 직접 시술을 통해
환자 개인의 구강 구조를 고려한 임플란트 식립이 가능합니다.

검증된 의식하진정 약물로 가수면 상태 유도

Check Point 02

검증된 의식하진정 약물로
가수면 상태 유도

임플란트 시술 시 환자분의 가수면 상태 유도를 위하여
인체에 해가 없는 안전한 진정 약물로 시술을 진행합니다.

전신마취가 아닌 가수면 상태의 의식하진정 상태에서의 시술 진행으로
통증과 불편함을 거의 느끼지 않아 시술 시간이 길거나
복잡한 경우에도 임플란트 식립이 가능합니다.

바른선택치과

바른선택치과의원 실제 환자 전,후 사례

바른선택치과의원 임플란트 실제 사례

바른선택치과의원을 만나, 치아는 물론 삶까지 바뀌신 실제 환자분 전,후 사례를 확인하세요.

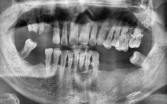
CASE 01 김** / 60대
전악임플란트
치료 시작 전 촬영 2024.01.24 | 치료 완료 후 촬영 2024.12.26
1 예후불량 치아 발치
화살표
2 발치 후 즉시 임플란트 식립 및 뼈이식
화살표
3 고정성 보철물로 수복 후 일상 회복
CASE 02 김** / 60대
전악임플란트
치료 시작 전 촬영 2024.01.24 | 치료 완료 후 촬영 2024.12.26
1 예후불량 치아 발치
화살표
2 발치 후 즉시 임플란트 식립 및 뼈이식
화살표
3 고정성 보철물로 수복 후 일상 회복
CASE 03 한** / 60대
전악임플란트
치료 시작 전 촬영 2022.05.15 | 치료 완료 후 촬영 2023.05.25
1 예후불량 치아 발치
화살표
2 발치 후 즉시 임플란트 식립 및 뼈이식
화살표
3 고정성 보철물로 수복 후 일상 회복
CASE 04 이** / 70대
전악임플란트
치료 시작 전 촬영 2022.06.05 | 치료 완료 후 촬영 2023.05.25
1 예후불량 치아 발치
화살표
2 발치 후 즉시 임플란트 식립 및 뼈이식
화살표
3 고정성 보철물로 수복 후 일상 회복
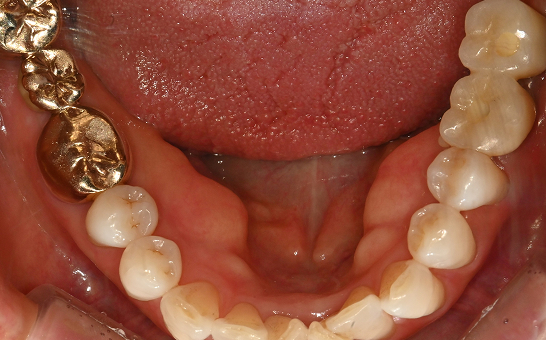
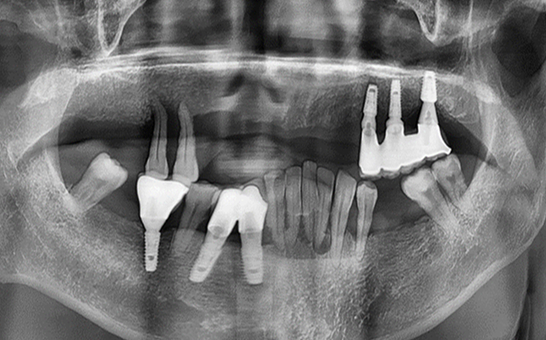
CASE 05 하** / 50대
임플란트 재수술
치료 시작 전 촬영 2024.06.05 | 치료 완료 후 촬영 2025.01.04
1 실패한 임플란트 제거
화살표
2 뼈이식 후 재식립
화살표
3 건강한 잇몸 유지 중
이전
다음

※ 바른선택치과의원은 의료법을 준수하며 위 케이스는 실제 내원 환자분의 동의하에 공개된 사진과 동일한 환자분께 같은 조건에서 촬영한 사진을 활용했습니다.
개인에 따라 진료 및 치료 방법이 다르게 적용할 수 있으며, 효과와 부작용이 개인마다 다르게 나타날 수 있는 점을 안내해 드리며, 진료 전 전문의료진과 충분한 상담을 권해드립니다.

[임플란트 주의사항]
1. 당일 마취가 풀린 후 식사를 하셔야 되며, 맵고 뜨거운 음식은 피하는게 좋습니다.
2. 혀나 칫솔로 창상을 계속 건들면 치유가 방해 됩니다.
3. 무리한 운동 혹은 사우나를 피하고 충분한 안정을 취해주시는게 좋습니다.
4. 흡연 및 음주는 치유를 방해하기 때문에 1~2달 가량 멀리하는게 좋습니다.
5. 통증이 심할 경우, 처방해드린 진통제 혹은 타이레놀을 복용해주시면 됩니다.

바른선택치과의원 카카오톡 문의버튼